폐암은 국내 암 사망률 1위인 무서운 질병입니다. 특히 흡연자분들이라면 더욱 주의 깊게 살펴보셔야 하는데요. 담배연기 속 유해물질 중 발암물질 함량이 높기 때문에 지속적으로 노출될 경우 폐암 발병 확률이 높아집니다. 하지만 초기에 발견하면 완치율이 높은 편이기 때문에 미리미리 예방해야 합니다. 그래서 오늘은 폐암 초기증상과 예방법에 대해 알아보겠습니다.

폐암 초기증상
가장 대표적인 폐암초기증상으로는 기침 및 가래가 있습니다. 하지만 이러한 증상은 감기에서도 쉽게 나타나는 증상이기 때문에 가볍게 넘기기 쉽습니다.
만성 기침: 지속적인 기침이 있을 수 있으며, 가래 또는 피를 포함한 가래를 발생할 수 있습니다. 이 기침은 폐암이 발생하는 부위에 따라 다를 수 있습니다.
호흡 곤란: 호흡이 어려워지거나 숨이 차다는 느낌이 있을 수 있습니다. 폐의 기능 저하나 종양으로 인해 기도가 좁아진 경우 호흡에 어려움을 겪을 수 있습니다.
가슴 통증: 가슴 통증이나 압박감이 나타날 수 있습니다. 종양이 폐의 벽을 침범하거나 주변 조직에 압력을 가할 때 발생할 수 있습니다.
반복적인 호흡기 감염: 반복적인 폐렴이나 기타 호흡기 감염이 자주 발생할 수 있습니다. 폐암으로 인해 호흡기의 방어 기능이 감소하고, 감염이 더 잘 전파될 수 있습니다.
천명소리: 폐암이 성문에 가까운 부위에서 발생할 경우 천명소리나 목소리의 변화가 나타날 수 있습니다.
가슴 통증: 가슴에서 발생하는 지속적인 통증이나 불쾌감이 있는 경우 폐암을 의심해야 합니다. 통증은 가슴 내부에 위치한 종양으로 인해 발생할 수 있습니다.
체중 감소: 체중이 감소하는 것은 폐암의 일반적인 증상 중 하나입니다. 폐암은 식욕을 감소시키고, 암 조직이 에너지를 소모하기 때문에 체중이 감소할 수 있습니다.
피로감과 약해짐: 지속적인 피로감, 에너지 부족 및 일상적인 활동에 대한 약해짐이 있는 경우 폐암을 의심해야 합니다.
목소리 변화: 폐암이 성문 근처에 위치한 경우, 목소리의 변화나 천명소리가 나타날 수 있습니다.
뼈나 관절 통증: 폐암이 진행되면서 다른 부위로 전이될 수 있으며, 이로 인해 뼈나 관절 통증이 발생할 수 있습니다.
폐암에 좋은음식은?
폐암환자에게 좋은 음식으로는 대표적으로 버섯류나 마늘, 양파 등이 있으며 항암효과가 뛰어난 식품입니다. 또한 비타민C가 풍부한 과일과 채소들을 섭취하시는 것도 좋습니다. 하지만 너무 많은 양을 한꺼번에 먹으면 오히려 몸에 부담이 될 수 있으니 적당량을 꾸준히 드시는 것이 좋아요.
능이버섯 효능은?
능이버섯은 향버섯이라고도 불리며 예로부터 귀한 식재료로 여겨져 왔어요. 인공재배가 되지 않아 자연산으로만 얻을 수 있고 1년 중 9월 중순부터 10월까지만 채취가 가능하기 때문에 더욱 귀
roso.rogout.com
개똥쑥 효능은?
개똥쑥이라는 이름 들어보셨나요? 개똥쑥은 한방에서는 발열감기나 학질, 소아경기등에 처방한다고 합니다. 최근에는 암세포를 죽이는 효과가 있다고 알려지면서 많은 사람들이 찾고 있다고
roso.rogout.com
폐암 예방법
금연: 가장 중요한 폐암 예방 방법은 흡연을 피하는 것입니다. 흡연은 폐암의 가장 큰 원인 중 하나이며, 흡연자들은 폐암 발병 위험이 훨씬 더 높습니다. 흡연을 하지 않거나 흡연을 중단하는 것이 가장 효과적인 방법입니다. 흡연자는 금연을 위해 의료 전문가의 도움을 받을 수도 있습니다.






환경적인 요인 피하기: 가능한 한 환경적인 폐암 위험 요소를 피하는 것도 중요합니다. 공기 중의 오염 물질에 노출되지 않도록 주의해야 합니다. 실내 공기 품질을 개선하기 위해 실내 공기 청정기를 사용하거나 공기가 오염된 지역에서의 활동을 최소화하는 것이 도움이 될 수 있습니다.






직업적인 위험 요소 관리: 위험한 물질에 노출되는 직업에 종사하는 경우, 안전 장비를 착용하고 안전 지침을 준수하여 노출을 최소화해야 합니다. 직장에서의 안전 및 보호 정책을 준수하는 것이 중요합니다. 근로자는 직업 안전 및 보건에 관한 지침을 따라야 합니다.






건강한 생활습관 유지: 일반적인 건강을 유지하고 면역력을 강화하는 것은 폐암 예방에 도움이 될 수 있습니다. 규칙적인 운동, 건강한 식단, 충분한 수면 및 스트레스 관리 등이 포함됩니다.






폐암 치료방법
초기라면 수술로도 충분히 치료가 가능하지만 말기이거나 전이가 된 상태라면 항암치료를 받게 됩니다. 최근에는 표적항암제라는 새로운 치료제도 개발되어 생존기간 연장 및 삶의 질 향상에 도움을 주고 있지만 부작용 우려가 있고 내성이 생길 수도 있어서 신중하게 선택해야 한다고 해요.






폐암 이란?
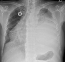
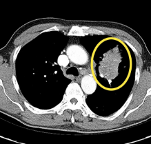
폐암은 말 그대로 폐에 생긴 악성종양을 의미합니다. 크게 소세포폐암과 비소세포폐암으로 나뉘는데, 대부분의 폐암환자분들은 비소세포폐암에 해당됩니다. 전체 폐암 중 80~85%가량 차지하며, 편평 상피세포암, 선암, 대세포암등이 속합니다.






폐암 항암치료 부작용
가장 흔한 부작용으로는 탈모, 구토, 식욕부진, 설사, 구내염, 빈혈, 백혈구 감소증, 혈소판 감소증, 피부발진, 손발톱 변색등이 있습니다. 특히 골수기능 저하로 인한 면역력 저하는 감염 및 출혈성 질환으로부터 취약하게 만듭니다. 또한 구강점막 손상으로 인해 음식물 섭취가 어려워지며, 이로 인해 영양결핍 상태가 될 수 있습니다.
댓글